
New study unveils a significant connection between oral bacteria and pancreatic cancer development in mice and sheds light on a previously recognised link between oral health and pancreatic cancer, one of the deadliest forms of cancer.
Professor Gabriel Nussbaum and his team at the Institute of Biomedical and Oral Research, Hebrew University-Hadassah Faculty of Dental Medicine, have recently published groundbreaking research in the journal Gut, uncovering a pivotal link between oral bacteria and the onset of pancreatic cancer in mice. Their study delves into the intricate relationship between oral microbiota, notably Porphyromonas gingivalis, and the acceleration of pancreatic cancer development, offering crucial insights into early detection, prevention, and potential therapeutic avenues.
Pancreatic ductal adenocarcinoma (PDAC) has been connected to the presence of Porphyromonas gingivalis, a prevalent anaerobic bacterium known for its association with periodontal disease. Leveraging epidemiological clues, Prof. Nussbaum’s team embarked on a journey to elucidate the potential of P. gingivalis in driving the progression of pancreatic cancer.
Their research entailed a comprehensive examination of P. gingivalis translocation from the oral cavity to the pancreas using mouse models. By introducing the bacterium to genetically engineered mice predisposed to PDAC, the team uncovered compelling evidence of accelerated cancer development.
Key findings from the study indicate that viable P. gingivalis was found in the pancreas of healthy mice after applying it to the gums, and prolonged exposure caused changes in the pancreas, affecting its microbial balance. Additionally, applying P. gingivalis orally sped up the progression from early pancreatic abnormalities to pancreatic cancer in mice with a specific genetic mutation. The research also showed that this genetic mutation helped P. gingivalis survive inside cells, and the bacteria supported the survival of pancreatic cancer cells even when conditions were tough. Prof. Nussbaum and his team’s discoveries emphasize a direct link between P. gingivalis and the development of pancreatic cancer in mice, offering significant insights into how this disease progresses.
“The study underscores the significance of considering oral health in understanding and tackling pancreatic cancer,” says Prof Gabriel Nussbaum, lead researcher at the Institute of Biomedical and Oral Research. “By exploring the role of bacteria like P. gingivalis, we’re not only shedding light on potential risk factors but also uncovering new avenues for intervention and treatment.”
The findings suggest that there’s a real possibility that gum disease could be connected to the risk of pancreatic cancer, emphasising how bacteria directly affect this link. There’s potential in focusing on bacteria within cells as a way to lower the risk of pancreatic cancer or to improve existing treatments for it. These insights open up avenues for future research and could lead to more effective strategies for preventing and treating pancreatic cancer.
Pictures credit: Nussbaum Lab, Hebrew University
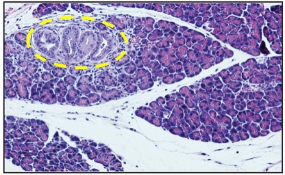
Title: Pre-cancerous lesion
Description: Pancreas sections from control and P. gingivalis-infected mice. Control mouse showing a small pre-cancerous lesion (marked in yellow)

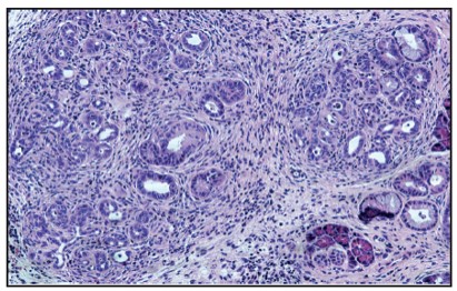
Title: Infected with P. gingivalis
Description: Pancreas sections from control and P. gingivalis-infected mice. Mouse infected with P. gingivalis – pancreas shown full-blown pancreatic cancer.

Title: Intracellular P. gingivalis in human pancreatic cancel cells
Description: Human pancreatic cancer cells harboring intracellular P. gingivalis (bacteria labeled in green and nucleus in blue)

Disclaimer: In these challenging times of war and crisis, Hebrew University of Jerusalem is resolute in its dedication to advancing research and education. We stand in full support of the brave individuals on the frontlines, safeguarding our nation and the well-being of all Israelis, and extend our deepest gratitude and unwavering solidarity to our community and fellow citizens. Together, we shall prevail against the challenges that confront us, and our shared commitment to the well-being of all Israelis and the pursuit of knowledge remains resolute.
The Hebrew University of Jerusalem is Israel’s premier academic and research institution. With over 25,000 students from 90 countries, it is a hub for advancing scientific knowledge and holds a significant role in Israel’s civilian scientific research output, accounting for nearly 40% of it and has received over 11,000 patents. The university’s faculty and alumni have earned eight Nobel Prizes and a Fields Medal, underscoring their contributions to ground-breaking discoveries. In the global arena, the Hebrew University ranks 77th according to the Shanghai Ranking, making it the top-ranked Israeli institution. To learn more about the university’s academic programs, research initiatives, and achievements, visit the official website at http://new.huji.ac.il/en